Semua jenis narkoba tentulah berbahaya. Akan tetapi kita perlu mengetahui lebih dalam tentang shabu untuk dapat memahami mengapa ia dapat begitu berbahaya dan menebar teror bagi anda maupun anggota keluarga anda. Narkoba lain seperti heroin atau kokain memiliki musim panen. Akan tetapi Shabu-shabu merupakan narkoba sintetis yang dapat dibuat kapan saja dari bahan-bahan yang juga ada dalam keseharian kita. Bahaya maut shabu-shabu sangat dekat dengan kita, atau dan orang-orang yang kita kasihi.
Shabu hanyalah sebutan yang popular di Indonesia untuk zat adiktif yang disebut methamphetamine (meth). Bentuknya seperti butiran crystal putih seperti butiran gula yang lebih besar sedikit sehingga ada yang menyebutnya crystal meth. Selain berbentuk butiran crystal, meth juga tersedia dalam bentuk tablet, biasanya dicampur bahan lain seperti kafein.
Sebutan lainnya adalah Tina, Glass, ice, crystal, crank, chalk, speed, shabu (Jepang, Indonesia), Nazi dope, annie’s dope, annie, poor man’s cocaine, ya ba (Thailand), dll. Saya akan memakai istilah shabu dan meth secara bergantian di tulisan ini.
Efek Pemakaian, Sepertinya Baik?
Pemakaian shabu dapat dilakukan dengan cara menelan, menyuntik atau menghirup asapnya. Sekali penggunaan cukup 0,25 gr, tetapi efeknya 3,5 lbh kuat dari kokain yang bisa menyebabkan si pemakai mabuk sampai 12 jam. Inilah bahaya yang pertama, shabu membawa efek yang lebih kuat dari jenis narkoba manapun saat ini.
Begitu masuk ke dalam tubuh, meth langsung membawa rasa santai dan menyenangkan. Tiada lagi rasa cemas dan takut, persoalan (seolah) hilang. Sensasi meth juga serasa memberi, dorongan semangat, percaya diri yg tinggi dan daya tahan sehingga pemakainya bisa bekerja berjam-jam bahkan berhari-hari tanpa lelah.
Penemuan shabu di Jepang memang pada zaman perang dunia. Meth diberikan kepada para serdadu (termasuk di Jerman dan tentara merah, Rusia) sehingga dapat bertarung berhari-hari, tanpa rasa takut.

Dikalangan pekerja mulai dari buruh sampai pekerja kantoran, penggunaan shabu sebenarnya sangat signifikan. Tuntutan kerja yg tinggi menuntut bekerja lebih lama tanpa rasa lapar dan lelah. Di Thailand beberapa tahun lalu, ada perusahaan yang bahkan membagikan shabu/ya ba kepada karyawan untuk mendongkrak produktivitas!
Ketiadaan rasa lapar dan haus selama menggunakan shabu, membuat orang memilih penggunaan narkoba ini untuk menurunkan berat badan. Tetapi hasil yang diperoleh, tentulah jauh dari ideal.
Iblis Mengintai
Efek-efek yang dirasakan selama mengkonsumsi shabu hanyalah tipuan sementara. Sekali menggunakan shabu, sesungguhnya pemakainya telah melakukan perjanjian jangka panjang dengan iblis. Dalam pemakaian shabu selanjutnya, efeknya akan menghantam balik. Obat ini menyerang otak, melemahkan tubuh dan pikiran membuat pecandunya menderita paranoid, agresif berlebihan bahkan gila. Sekali digunakan, kebutuhan dosisnya akan semakin tinggi.
Dalam otak manusia terdapat pusat kesenangan yang disebut nucleus accumbent. Di titik ini terjadi pelepasan dopamine, yaaitu bahan kimia alami yg menimbulkan rasa senang. Makin banyak dopamine dilepaskan, makin senang kita rasakan. Kesenangan sesungguhnya merupakan ’hadiah’ yang diberikan otak kepada manusia. Salah satu puncak kesenangan normal adalah adalah seks dan makan. Dalam kedua aktivitas itu, dopamine dilepaskan otak dan menimbulkan rasa senang dan nyaman.
Inilah yang sebetulnya terjadi: saat mengkonsumsi shabu, ia langsung menuju pusat kesenangan, nucleus accumbent. Makanya si pemakai langsung teler dalam keadaan santai dan nyaman. Penelitian pada tikus menunjukkan bahwa 150 unit dopamine dilepaskan otak pada saat makan atau melakukan aktivitas seks.
Akan tetapi shabu menipu otak agar melepaskan lebih banyak dopamine. Sekali pemakaian, shabu bisa memicu pelepasan 1200 unit dopamine. Shabu memaksa otak bekerja keras 3,5 kali lebih keras dibandingkan efek kokain, atau 6 kali lebih keras dari aktivitas normal manusia.
Meth pun mulai bekerja merusak otak. Otak yang dipaksa melepaskan dopamine berlebihan, pun melakukan perlawanan secara alami. Otak mulai mematikan sel saraf yg terlalu aktif melepaskan dopamine. Akibatnya, pada titik tertentu pemakai shabu mulai merasakan perubahan dari tingginya dopamine (kesenangan) menjadi semakin sedikit dopamine karena sel-sel saraf otak yg mulai mati.
Akibatnya para pecandu mulai kehilangan rasa melayang itu tetapi tetap berusaha mengejar rasa senang yang sempat mereka nikmati dalam kemabukan. Mereka akan terus berusaha mencapai titik itu dengan pemakaian shabu yang tentu dosisnya semakin ditingkatkan, sampai berhari-hari lamanya sampai mendapatkan sengatan dopamine yang makin lama makin jarang. Lama kelamaan pemakaian shabu dengan dosis yang semakin meninggi membuat otak tidak dapat bekerja, dan meth/shabu mulai mengambil alih pikiran pemakainya.
Di titik ini pemakai shabu mulai berhalusinasi. Melihat hal-hal yg tidak nyata, mendengar suara-suara dan sebagainya. Salah satu halusinasi misalnya merasa tubuhnya dikerubuti serangga sehingga si pemakai shabu mulai menggaruk tak henti. Halusinasi berlanjut, ia mulai menggaruk dengan benda kasar, bahkan menusuk-nusuk tubuhnya untuk mengejar ’serangga’ yang dirasakannya masuk ke dalam lukanya. Tidak heran tubuh pecandu meth biasanya penuh luka bekas cakaran atau tusukan.
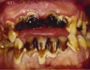
Selama mabuk shabu, pemakainya jarang makan dan minum, pasokan air liur di mulut menjadi berkurang. Akibatnya gigi dan gusi menjadi keropos tak terkira. Bencana lainnya adalah kerusakan organ-organ vital seperti ginjal, paru-paru, lambung, hati dan tentu saja otak. …serta tentu saja tampilan fisik yang menyedihkan.

Serangan meth ke otak membuat si pemakai shabu terancam kehilangan usianya, yaitu selama ia memakai dan tergantung pada obat iblis tersebut. Usia bertambah, tetapi otaknya melemah sehingga perkembangan pikirannya terhenti. Dalam hitungan bulan, otak mulai melemah dan tampilan wajah semakin kuyu dan tua. Gambar-gambar berikut menunjukkan perubahan wajah pemakai meth.



Tampilan pemakai narkoba menggambarkan hebatnya kerusakan organ-organ vital tubuh meth. Apa yang dibahas di sini tentulah hanya sekelumit. Saya dan para pembaca tentu menyadari ancaman narkoba terhadap jiwa-jiwa penggunanya. Jika tidak ditangani segera, sesungguhnya pengguna narkoba telah mati di selama hidupnya.
Mereka memerlukan bantuan kita. Tetapi yang tidak kalah penting adalah menyadari bahwa bahaya narkoba begitu dekat dengan Anda.
Bahaya itu Dekat
Efek obat ini tidak diragukan lagi mengancam generasi bangsa manapun. Celakanya, meth menyebar sangat sporadis di dunia, melebihi narkoba manapun. Hal ini disebabkan karena meth sangat mudah diperoleh ataupun dibuat sendiri! Ada yang guyon mengatakan: Kalau anda bisa membuat kue kering, semudah itulah membuat shabu atau meth. Inilah bahaya lain meth: ia sangat dekat bahkan mungkin diproduksi di tetangga sebelah rumah Anda!
Sejak tahun 1980-an obat flu mengandung suatu zat baru yang bernama Ephedrine dan kerabatnya: Pseudoephedrine Hydrochloride (coba lihat kandungan obat flu atau obat batuk yang sering anda pakai). Para pengedar meth mengambil bahan ini untuk memproduksi shabu. Untuk mengekstrak ephedrine dari obat flu diperlukan bahan lain yang juga mudah didapat seperti alkohol, eter (dari kaleng semprot), lithium (pada baterai), amonia (dalam urea), … … dll. Saya tidak akan merinci bahan-bahan tersebut dan cara membuatnya.

Sangat salah bila mengatakan obat flu tidak bisa dibuat menjadi shabu! Karena sangat mudah dibuat, ‘laboratorium’ shabu bermunculan bagai jamur di musim hujan. Tidak peduli kota kecil atau kota besar. Pembuat shabu, bisa jadi sangat dekat dengan anda. Dengan bahan-bahan yang begitu mudah diperoleh, shabu bisa diproduksi di dapur, ruko, garasi dll di sebelah rumah anda.Waspadai lingkungan sekitar.
Banyaknya tangkapan Bea Cukai saat ini bukan berarti negara dan rumah kita aman dari ancaman shabu.Karena shabu tidak perlu diimpor. Shabu ditengarai lebih banyak yang diproduksi dalam negeri. Karenanya, tidak perlu menyalahkan negara lain yang banyak ‘mengekspor’ shabu ke Indonesia. Pihak DEA (BNN-nya Amerika) pun mengakui hal yang sama. Bahaya shabu, justru mengancam dari dalam negeri!!
Meth tidak perlu menunggu musim panen, seperti heroin atau kokain. Bahannya murah dan mudah diperoleh dan tersedia setiap waktu. Sebuah peragaan membuat shabu memerlukan waktu kurang dari satu jam! Itulah sebabnya shabu menyebar begitu cepat di seluruh dunia, termasuk Indonesia.

Dengan bahan yang murah, efek yang lebih kuat, meth/shabu merupakan ancaman global. PBB telah meminta pembatasan produksi ephedrine terutama di Cina, India dan Jerman. Di Amerika, diperlukan resep dokter untuk membeli obat flu berbahan ephedrine.
Jadi bila anak flu, jangan buru-buru memberikan obat apalagi yang mengandung bahan tersebut (kecuali bila sudah demam, itupun perlu dikonsultasikan dengan dokter). Meski dalam dosis rendah, obat apapun tidak baik bagi kesehatan karena obat memaksa ginjal dan hati bekerja lebih keras lagi. Apalagi bila menimbulkan efek ketergantungan.
Ancaman Shabu bagi Anak-anak
Shabu/meth sangat mudah disamarkan. Bila dulunya pengguna shabu umumnya kalangan remaja ke atas, kini pengedar meth pun mengintai anak-anak. Meth disamarkan dalam bentuk permen dan kue serta dipasarkan dekat sekolah untuk memperoleh pasar yang lebih luas.
Pernah mendengar Strawberry Meth atau Strawberry Quick? Ini adalah permen rasa strawberry dengan kandungan shabu. Saat dikunyah, reaksi meth menimbulkan suara mendesis dalam mulut. Anak-anak terpikat dengan warna kemasan, mengira ini adalah kembang gula. Tidak sedikit yang harus masuk RS karena kecanduan. Kini, permen shabu pun ada dalam berbagai rasa menarik seperti cokelat, kacang, cola, cherry, jeruk dll.

Beberapa waktu lalu, kita dikagetkan berita sejumlah anak-anak yang dilarikan ke RS karena keracunanan permen. Ternyata itu permen shabu. Sayangnya berita ini berlalu begitu saja.
Hindarkan anak-anak dari permen atau jajanan yang tidak perlu. Bila harus membeli, belilah di toko yang anda percaya. Yang jelas bukan di pinggir jalan. Hati-hati pula dengan permen pemberian, bahkan dari orang yang kita anggap teman.
Apakah Sudah Selesai?
Narkoba dalam berbagai wujudnya merupakan salah satu bentuk nyata iblis dalam dunia. Dia menawarkan kesenangan sesaat, selanjutnya adalah penderitaan. Wajah-wajah yang sempat saya temui, adalah wajah suram, tanpa masa depan. Mereka, para pemakai meth telah membuang waktu yang begitu indah dalam hidup dan menyerahkan hidup kepada perangkap narkoba. Belum lagi efek sosial lain yang ditimbulkan seperti tindak kekerasan, perampokan, penyebaran penyakit hepatitis dan AIDS, serta berbagai efek negatif lainnya.
Seorang sherif, Bret King di Multmonah County, USA membuat sebuah proyek kecil bernama Faces of Meth yaitu sekumpulan foto napi yang tertangkap karena terlibat meth. Foto-foto tersebut ’berbicara’ lantang bagaimana shabu merenggut hak hidup normal anak manusia, pemakai meth.
Rehabilitasi sepertinya menjadi mantra sakti bagi pemakai narkoba. Dalam kasus shabu/meth, tidak semudah itu. Efeknya yang sangat kuat membuat pemakainya sangat susah melepaskan diri dari jeratnya. Sekitar 92 persen pemakai shabu, masih kembali mengkonsumsi narkoba setelah perawatan!! Karenanya tidaklah heran kalau mendengar seseorang yang berkali-kali ditangkap karena kasus narkoba. Shabu sangat kuat menjerat dan menguasai mangsanya.
Pemakai meth adalah korban, orang sakit, bukan selalu pelaku kejahatan. Mereka berbeda dari pengedar narkoba. Karenanya memenjarakan pemakai meth, sama sekali tidak menyelesaikan masalah, tetapi bisa menjadi sumber masalah baru yang semakin besar mengancam kita. Pendampingan tulus dan terus-menerus mungkin merupakan salah satu cara yang baik untuk membantu teman atau keluarga kita melepaskan diri dari pengaruh shabu.
Kisah mantan pesepakbola nasional, Ronny Pattinasarany yang berjuang melepaskan anaknya dari jerat narkoba, dapat menggambarkan beratnya perjuangan, kisah pilu dan cinta tak terbatas bagi pemakai narkoba. So, jangan sekali-sekali pernah mengenal benda ini, karena pemakainya tidak akan pernah benar-benar sembuh.
Tunjukkan kasih yang tulus, dengan kesabaran dan perjuangan yang tiada henti, berpacu untuk mengalahkan godaan iblis bernama shabu, meth, …whatever.. Semoga tulisan ini bermanfaat. (Adeltus Lolok. Diterbitkan pertama kali 21 Juli 2012)
Anda punya masukan, informasi atau komentar? Sampaikan di sini..